Víctor Hugo González Cárdenas1, Daniel Benítez Ávila2, Andrés Felipe Herazo Cubillos3, Claudia Rocío Merchán Morales4, Paloma García Ávila5, Jesús Eduardo Martínez Medina6, Laura Catalina Chaparro Gómez7, Jaime Andrés Torres Clavijo8
Recibido: 17-11-2024
Aceptado: 26-12-2024
©2025 El(los) Autor(es) – Esta publicación es Órgano oficial de la Sociedad de Anestesiología de Chile
Revista Chilena de Anestesia Vol. 54 Núm. 4 pp. 426-432|https://doi.org/10.25237/revchilanestv54n4-13
PDF|ePub|RIS
Ultrasound measurement of the optic nerve sheath in a healthy population
Abstract
Introduction: Intracranial hypertension (ICH) is a devastating outcome caused by a variety of neurological and non-neurological condi- tions[],[]. For this, invasive techniques have classically been used. The insertion of these devices is associated with hemorrhagic or infectious complications, and is contraindicated in coagulopathic states[],[],[]. Among the non-invasive techniques for estimating ICP is the measurement of the diameter of the optic nerve sheath (OND). Objective: Measuring the diameter of the optic nerve sheath with ultrasound (DVNO) allows the detection of elevated intracranial pressure quickly, non-invasively and at the patients bedside. The normal value in a healthy population, essential to interpret this measurement, is poorly studied in the Latin American population. The objective of the present study is to determine the normal value of DVNO in a healthy Colombian population. Materials and Methods: Healthy volunteers were included in the anesthesiology service of the Hospital Universitario de la Samaritana, Bogotá, Colombia, during the period from March to October 2021. Each measurement corresponded to the average obtained from two measurements carried out by two evaluators (an anesthesiologist and an anesthesiology resident). The measurement point was determined to be the one found 3 mm behind the eyeball along the axis perpendicular to the optic disc. Results: 360 samples were obtained. 70.6% were women and 29.4% men. An average DVNO of 0.43 cm was calculated (SD ± 0.07 cm, p25 = 0.38 cm, and p75 = 0.49 cm). The average DNVO in women was 0.43 cm (SD ± 0.0046 cm) and in men 0.45 cm (± 0.0077 cm) (p = 0.032). Conclusion: Taking into account that 95% of the DNVO measurements in the studied population were < 0.55 cm, it is inferred that a value > 0.55 cm could be considered abnormal for the Colombian adult population. There is a lack of studies with similar methodology to standardize values associated with Intra-Cranial Hypertension (ICH).
Resumen
Introducción: La hipertensión intracraneana (HIC) es un desenlace devastador causado por una variedad de condiciones neurológicas y no neurológicas[],[]. Para esta, clásicamente se han utilizado técnicas invasivas. La inserción de estos dispositivos se asocia a complicaciones he- morrágicas o infecciosas, y está contraindicada en estados de coagulopatía[],[],[]. Dentro de las técnicas no invasivas para la estimación de la PIC se encuentra la medición del diámetro de la vaina del nervio óptico (DVNO). Objetivo: La medición del diámetro de la vaina del nervio óptico con ecografía (DVNO) permite detectar la elevación de la presión intra-craneana de manera rápida, no invasiva y a la cabecera de la cama del paciente. El valor normal en población sana, indispensable para interpretar esta medición esta pobremente estudiado en población latinoamericana. El objetivo del presente estudio es determinar el valor normal del DVNO en población sana colombiana. Materiales y Métodos: Se incluyeron voluntarios sanos en el servicio de anestesiología del Hospital Universitario de la Samaritana, Bogotá, Colombia, durante el período de marzo a octubre de 2021. Cada medición correspondió al promedio obtenido de dos mediciones realizadas por dos evaluadores (un anestesiólogo y un residente de anestesiología). Se determinó como punto de medida el encontrado a 3 mm detrás del globo ocular a lo largo del eje perpendicular al disco óptico. Resultados: 360 muestras fueron obtenidas. 70,6% fueron mujeres y 29,4% hombres. Se calculo un DVNO promedio de 0,43 cm (DE ± 0,07cm, p 25 = 0,38 cm, y p75 = 0,49 cm). El promedio del DNVO en mujeres fue 0,43 cm (DE ± 0,0046 cm) y en hombres 0,45 cm (± 0,0077 cm) (p = 0,032). Conclusión: Teniendo en cuenta, que el 95% de las mediciones del DNVO en la población estudiada fue < 0,55 cm, se infiere que un valor > 0,55 cm podría considerarse anormal para la población adulta colombiana. Faltan estudios de similar metodología para estandarizar valores asociados a Hipertensión Intra-Craneana (HIC).
-
Introducción
La vaina del nervio óptico (VNO) es una estructura continua, derivada de la duramadre, que cubre el nervio óptico en su porción extra-craneal, la cual cambia dinámicamente de acuerdo a la variación de la PIC, por lo que, una elevación de la misma, se transmite a través del espacio subaracnoideo generando el aumento del DVNO[9]. La medición de la VNO puede realizarse con tomografía axial computarizada, resonancia magnética o ultrasonido. Las dos primeras requieren de equipos de baja disponibilidad y alto costo, mayor tiempo de ejecución y desplazamiento del paciente[10], mientras que la medición mediante ultrasonido se puede realizar a la cabecera de la cama del paciente, y ofrece con una adecuada correlación con elevaciones de la presión intracraneana[11]-[15].
Sin embargo, no se han determinado valores de referencia y puntos de corte del DVNO para población latinoamericana (incluida la colombiana). El valor considerado como normal en población sana, indispensable para interpretar esta medición, solo se ha determinado en población anglosajona y asiática[16]. El objetivo de el presente estudio fue determinar el valor de referencia del DVNO en población sana colombiana.
-
Metodología
Estudio observacional descriptivo con un diseño de corte transversal, aprobado por los comités técnicos y de ética para la investigación en seres humanos del Hospital universitario de la Samaritana y La Universidad de La Sabana, cumpliendo su aval final el 20 de junio de 2020. Se realizaron mediciones en voluntarios sanos, en el servicio de anestesiología del Hospital Universitario de la Samaritana (Bogotá, Colombia), entre marzo y octubre de 2021.
Todos los participantes fueron mayores de 18 años, clasificados (académicamente) como ASA-PS I-II. Fueron excluidos sujetos con historia de hipertensión arterial sistémica, hipertensión intracraneal, enfermedades del nervio óptico y/o neurológicas. Se consignaron en las hojas de calculo variables sociodemográ- ficas (como: género, edad, peso, talla, índice de masa corporal (IMC), clasificación de ASA-PS, grupo étnico) y de interés clínico (como: presión arterial media (PAM) y Glasgow Coma Score [GCS]).
Se realizó cálculo del tamaño de muestra (probabilístico) teniendo en cuenta: una desviación estándar esperada para la medición del DVNO de 0,025 cm[17], una confianza del 99% y una precisión de 0,003 cm. A partir de dichas variables se obtuvo como muestra mínima a evaluar: 360 evaluaciones. Cada evaluación (o medición) correspondió al promedio obtenido de dos mediciones realizadas por los evaluadores.
La medición ecográfica fue realizada en modo B, usando un equipo SonoSite M-Turbo, con transductor lineal de alta frecuencia 13-6 MHz (SonoSite, FujiFilm Inc, Tokio, Japón). La evaluación fue realizada por un equipo compuesto por cinco especialistas en Anestesiología con experiencia en la técnica (VHGC, DBA, JEMM, LCCG, JT) y por tres residentes de Anestesiología y Medicina Perioperatoria (AFHC, CRMM y PGA), quienes se entrenaron y evaluaron con 25 insonaciones previas al inicio del reclutamiento.
De cada voluntario se obtuvo consentimiento informado para su participación, de acuerdo al procedimiento adscrito en el protocolo. Luego, cada voluntario fue posicionado en decúbito supino, se tomaron signos vitales de inicio, y se consignaron en la hoja de calculo. Como medida de protección ocular y con el fin de mantener el párpado cerrado, se colocó una película de seguridad transparente (Fixomull transparente, BSN medical) y se aplicó una capa de gel para la medición.
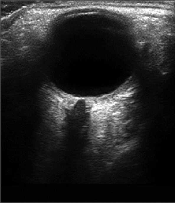
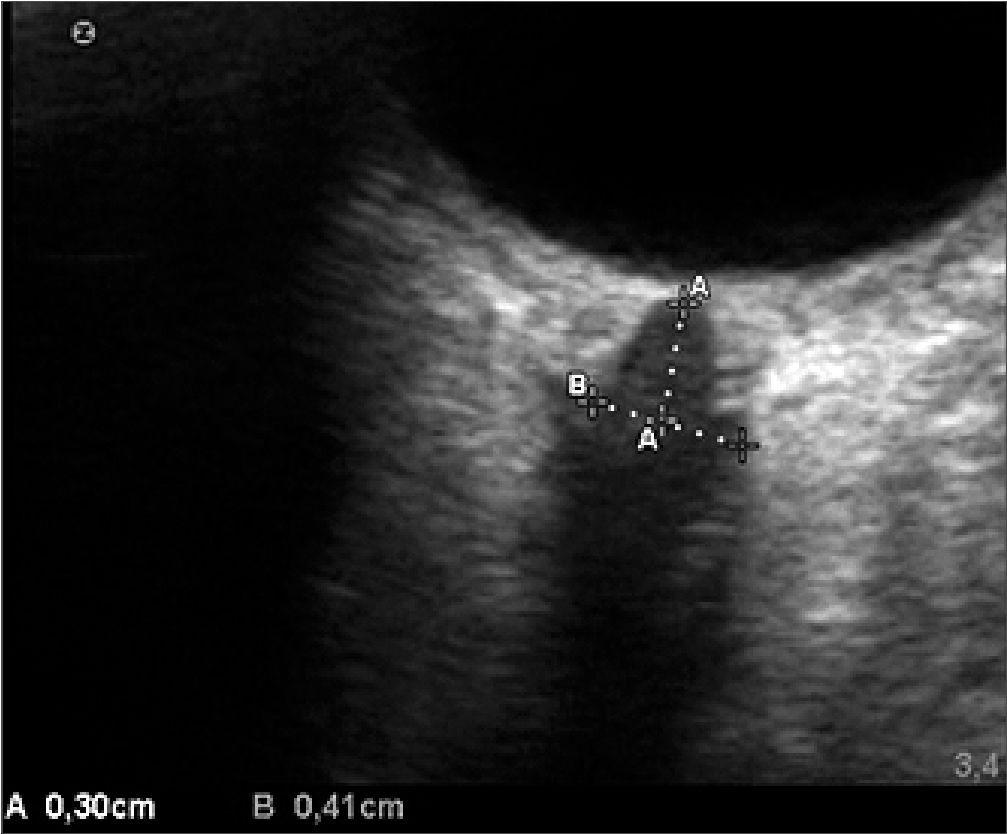
Dicha medición se realizó tanto en el plano sagital como en el axial del globo ocular; de ellas, se determino la mejor imagen, la cual fue definida como aquella con una visualización adecuada de la entrada del nervio óptico al globo ocular, los límites de la VNO y el nervio óptico. Esta se congeló, y se midió el DVNO 3 mm detrás del globo ocular a lo largo del eje perpendicular al disco óptico (Figuras 1 y 2).
La recolección de datos se realizó en la hoja de calculo Microsoft Excel teniendo en cuenta la operacionalización de variables determinadas en el protocolo. El análisis estadístico se realizó utilizando el paquete estadístico para las ciencias sociales 25.0 (SPSS Inc., Chicago, IL). Las variables fueron descritas de acuerdo a su naturaleza (cualitativa o cuantitativa); esta última previa valoración de su distribución. Se calculó el promedio del DNVO (medias) y su dispersión (desviaciones estándar). Se calculó el valor de referencia global, y se estratificó el valor de acuerdo al género, rangos de edad, peso, talla, IMC, y tensión arterial media. Se realizó una regresión lineal para controlar las variables de confusión. Para los grupo etarios se evaluó la medición objetivo en cada estrato por medio de análisis de varianza (ANOVA). Finalmente, se evaluó la correlación entre las mediciones realizadas por expertos y personal en formación. Las figuras y gráficos se crearon en SPSS 25.0 y Microsoft Excel. Las diferencias se consideraron estadísticamente significativas con valores de p < 0,05.

Figura 1. Entrada del nervio óptico al globo ocular, los límites de la VNO y el nervio óptico.
-
Resultados
-
Características demográficas
Se obtuvo un total de 360 mediciones realizadas por anes- tesiólogos expertos y 360 mediciones realizadas por residentes de anestesiología y medicina perioperatoria. El 70,6% de los voluntarios sanos fueron mujeres y el 29,4% fueron hombres. La edad media de los individuos fue 34,41 ± 12,18 años, presentaron un peso promedio de 64,32 ± 11,26 kg, una talla media de 1,63 ± 0,09 m, y, un IMC de 24,21 ± 3,17 kg/m2. La TAM media fue de 83,25 ± 11,08 mmHg. Las edades se distribuyeron en 4 grupos: < 24 años: 92 voluntarios (25,6%), 24-30 años: 86 sujetos (23,9%), 31-40 años 78 sujetos (21,7%) y > 40 años 104 sujetos (28,9%) (Tabla 1).

Figura 2. Medición de la VNO.
Tabla 1. Datos demográficos
| Variable | n / media | % / DE |
| Total | 360 | 100 |
| Género | ||
| – Femenino | 254 | 70,6 |
| – Masculino | 106 | 29,4 |
| Edad (años) | 34,41 | ± 12,18 |
| Peso (Kg) | 64,32 | ± 11,26 |
| Talla (m) | 1,63 | ± 0,09 |
| IMC (Kg/m2) | 24,21 | ± 3,17 |
| TAM (mmHg) | 83,25 | ± 11,08 |
| ASA-PS | ||
| – I | 260 | 72,2 |
| – II | 100 | 27,8 |
Tabla 2. Promedio de la medición del DNVO en población colombiana
| Global | |||||||
| DVNO | |||||||
| Media | DS | P (ks) | Medido por | P5 | P25 | P75 | p95 |
| 0,43 | 0,07 | 0,012 | Promedio | 0,31 | 0,38 | 0,49 | 0,55 |
| 0,43 | 0,07 | < 0,0001 | Residente | ||||
| 0,44 | 0,08 | < 0,0001 | Instructor | ||||
-
Medición del DVNO
Se obtuvo un DVNO promedio de 0,43 cm, con una DE ± 0,03 cm, (p25 = 0,38 cm; p75 = 0,49 cm). El 95,3% de las mediciones fueron < 0,55 cm (Tabla 2). El promedio del DNVO en mujeres fue de 0,43 cm ± 0,0046 cm y en hombres fue de 0,44 cm ± 0,0070 cm, (p = 0,187), (Tabla 3). Al hacer una comparación de los grupos de edad por cuartiles, se identificaron resultados estadísticamente significativos ANOVA p = 0,014, test Scheffe p = 0,031, lo cual demuestra diferencias entre menores de 24 años y entre 24 a 30 años (Gráfico 1). Con la regression lineal bivariada se encontró una correlación estadísticamente significativa con el peso p = 0,012, la talla p = 0,005, TAM p = 0,005. No obstante, al realizar la regresión lineal múltiple se puede concluir que ningún modelo es factible, lo cual excluye una predicción a partir de un modelo múltiple para el valor de la media del DNVO (Tabla 4).
Al evaluar la correspondencia inter-observador entre la medición realizada por el anestesiólogo y la realizada por personal en entrenamiento, se determinó un coeficiente de correlación de Pearson de 0,621 (con la media del DVNO) (Gráfico 2). Al evaluar la misma correlación, pero corregida con las variables de género, edad, edad (cuartiles), peso, talla, IMC y TAM, se calculó un coeficiente de correlación de Pearson de 0,610.
Tabla 3. Promedio de la medición del DNVO por género
DNVO por género
| Femenino | DS | Masculino | DS | p t-student test | Medido por |
| 0,43 | 0,0046 | 0,43 | 0,0079 | 0,753 | Residente |
| 0,43 | 0,0046 | 0,45 | 0,0077 | 0,032 | Instructor |
| 0,43 | 0,0041 | 0,44 | 0,0070 | 0,187 | Promedio |

Gráfico 1. Media del DVNO de acuerdo a la edad (cuartiles) y género.

Gráfico 2. Dispersión simple, media del DVNO residentes vs especialistas.
Tabla 4. Regresión lineal bi-variada
| Regresión lineal bi-variada | |||||||
| Variable | Constante | DS | IC95% Const | Beta | DS | IC95% | P |
| Edad | 0,434 | 0,012 | (0,411 a 0,458) | 0,000 | 0,000 | (-0,001 a 0,001) | 0,717 |
| Peso | 0,382 | 0,023 | (0,337-0,427) | 0,001 | 0,000 | (0,000 a 0,002) | 0,012 |
| Talla | 0,239 | 0,07 | (0,101-0,377) | 0,122 | 0,043 | (0,038 a 0,207) | 0,005 |
| IMC | 0,408 | 0,031 | (0,348-0,468) | 0,001 | 0,001 | (-0,001 a 0,004) | 0,317 |
| TAM | 0,355 | 0,03 | (0,296-0,413) | 0,001 | 0,000 | (0,000 a 0,002) | 0,005 |
-
Discusión
La identificación de puntos de corte de “normalidad” en la medición del DVNO permiten realizar un abordaje más acertado para determinar el aumento de la presión intracraneal en pacientes enfermos. En este estudio identificamos un rango promedio del DVNO en población adulta colombiana de 0,43 cm (DE ± 0,07 cm, con un p25 de 0,38 cm y p75 de 0,49 cm), siendo mayor en hombres (0,44 cm ± 0,0070 cm), que en mujeres (0,43 cm ± 0,0041 cm) (p = 0,187).
En la literatura se reportan 11 estudios evaluando el valor del DVNO en sujetos sin patología intracraneal (Tabla 5). Cuatro estudios son cuatro asiáticos: India[16],[18], China[19], y Hong Kong[20], cuatro europeos: Alemania[21],[22], Italia[23] y Grecia[24], dos Norteamericanos Estados Unidos[25] y uno africano Nigeria[17]. De estos, 8 estudios tienen menos de 100 participantes, 3 estudios tienen 100 o más participantes, de los cuales sólo 2 tienen más de 360 participantes.
Los resultados de la medición del DVNO reportados en la literatura varían de acuerdo a la población estudiada y esta es la importancia de determinar su valor en adultos sanos colombianos.
Tabla 5. Estudios evaluando el DVNO en adultos sanos
Estudios medición de la vaina del nervio óptico en adultos sanos
| Nombre y año | País | n | Edad (años) | Género | Promedio (cm) | Rango (cm) |
| Gonzalez et al. 2022 | Colombia | 360 | 34,41 ± 12,18 | F: 254
M: 106 |
0,44 ± 0,08 | 0,3 – 0,58 |
| Woster et al. 2018[26] | Estados Unidos | 20 | 37,1 ± 10,6 | F: 15
M: 5 |
0,377 (IC 95% 0,360
0,394) |
|
| Thotakura et al. 2017[16] | India | 16 | 36,31 ± 25,69 | F: 8
M: 8 |
0,34 | 0,29 – 0,41 |
| Chen et al. 2015[18] | China | 519 | 46,1 ± 14,2 | F: 207
M: 312 |
0,505 ± 0,0497 (mediana) | 0,47 – 0,54 |
| Shirodkar et al. 2014[18] | India | 41 | 27,44 ± 3,31 | F: 20
M: 21 |
Mujeres 0,4627 ± 0,009 Hombres 0,48 ± 0,001 | |
| Lochner et al. 2014[23] | Italia | 20 | 46,3 ± 16,4 | F: 13
M: 7 |
0,595 ± 0,068 | 0,45 – 0,77 |
| Anas 2014[17] | Nigeria | 400 | 36,94 ± 16,63 | F: 208
M: 192 |
OD 0,418 ± 0,049 OI 0,417 ± 0,044 | OD 0,336 – 0,51 OI 0,377 – 0,51 |
| Bäuerle et al. 2010[24] | Alemania | 40 | 37,1 ± 13,9 | F: 25
M: 15 |
0,540 ± 0,06 | 0,43 – 0,76 |
| Chan y Mok 2008[25] | Hong Kong | 100 | 50,2 ± 20 | F: 49
M: 51 |
0,409 ± 0,019 | 0,37 – 0,47 |
| Soldatos et al. 2008[26] | Grecia | 26 | 49 ± 19 | F: 5
M: 21 |
0,36 ± 0,06 | 0,22 – 0,49 |
| García et al. 2004[27] | Estados Unidos | 23 | 53 ± 29 | F: 8
M:15 |
0,48 ± 0,06 | 0,39 – 0,59 |
| Hansen et al. 1994[28] | Alemania | 20 | 48,6 ± 30,6 | – | 0,361 ± 0,005 | 0,29 – 0,43 |
En el estudio conducido por Thotakura et al. En la India, que incluyó 16 sujetos y publicado en 2017, se evidenció un valor promedio del DNVO de 0,34 cm con un rango desde 0,29 hasta 0,41 cm[16], que al compararlo con otro estudio realizado en la misma población por Shirodkar et al. Publicado en 2014, y que incluyo 41 sujetos, el valor promedio del DVNO fue mayor: en mujeres de 0,4627 cm ± 0,009 y en hombres de 0,48 ± 0,001[18]. También en población asiática, un estudio realizado por Chen et al. En China y publicado en 2015, incluyo 519 sujetos, se encontró una mediana del DVNO de 0,505 cm ± 0,0497[19], valor que difiere con los estudios previamente mencionados y a su vez con otros realizados en la misma población pero que contaban con menor tamaño de muestra, como el de Chan y Mok publicado en 2008 y realizado en Hong Kong con 100 sujetos donde se obtuvo un promedio del DVNO de 0,409 cm ± 0,019[20].
En la población europea, el primer estudio publicado fue desarrollado en Alemania por Hansen et al., en 1994 e incluyo 20 sujetos sanos, concluyó un valor normal del DVNO de 0,361 cm ± 0,005[22]. También en Alemania más recientemente, en 2010 Bäuerle et al., determinaron con 40 sujetos evaluados, un promedio de DVNO de 0,540 cm ± 0,06 con un rango de 0,43 a 0,76 cm[21], similar al rango obtenido en el estudio de Lochner et al., en 2014 en 20 sujetos italianos que fue de 0,45 a 0,77 cm pero con una mayor media del DVNO de 0,595 cm ± 0,068[23]. En Estados Unidos, existen dos estudios publicados, uno por Woster et al., en 2018[26] y el otro por García et al., en 2004[25], ambos con tamaños de muestra menores de 25 sujetos y con resultados que difieren entre si: DVNO promedio de 0,377 cm y DVNO 0,48 cm ± 0,06 respectivamente. Estas diferencias se asume que están explicadas por los tamaños de muestra y por la variación en las características sociodemográ- ficas de cada una de las poblaciones estudiadas, donde la raza puede jugar un papel importante.
Comparado con los estudios publicados en la literatura, el valor promedio del DVNO en población colombiana es menor a lo reportado en los estudios de Chen et al., Lochner et al., Bäuerle et al. y García et al., pero cercano al valor promedio publicado por Anas en 2014, en 400 sujetos Nigerianos que fue de 0,418 cm ± 0,049 en el ojo derecho y de 0,417 cm ± 0,044 en el ojo izquierdo[17].
El percentil 95 de promedio de DVNO en la población colombiana estudiada fue de 0,55 cm, lo que sugiere que el 95% de la población adulta sana colombiana tiene un DVNO promedio < 0,55 cm y con esto se puede inferir que un valor superior a este es anormal, sin embargo, es importante realizar estudios a futuro en pacientes colombianos con HIC para validar clínicamente este hallazgo estadístico.
Es importante resaltar que la técnica de medición empleada en nuestro estudio es la más aceptada y reproducida en la literatura, excepto en el estudio de García et al., en donde el DVNO fue medido por ultrasonido tridimensional[25]. La medición se realizó con los marcadores de ultrasonido en los bordes exteriores de las bandas hiperecóicas de la VNO o en la transición de la región hipoecóica a la grasa retrobulbar, en donde se concluyó que existe la mayor correlación entre el DVNO y la elevación de la PIC[27]. Adicionalmente, se ha demostrado que el DNVO no varía con la posición del paciente[28], ni con la orientación del transductor para realizar medición (axial o sagital)[29].
En relación a la diferencia del DNVO por género, nuestros resultados son concordantes a estudios previos como el conducido por Shirodkar et al., de 41 sujetos, donde el valor promedio del DVNO fue mayor en hombres (0,48 ± 0,001) comparado a mujeres (0,4627 cm ± 0,009) aunque no estadísticamente significativo[18], cabe aclarar, que la población colombiana estudiada fue en su mayoría mujeres (70,6%), con lo cual no se puede descartar un sesgo de selección que incida en este resultado.
En la regresión lineal múltiple, no se encontraron factores antropométricos que afectaran el DVNO. Este hallazgo es importante dado que, a priori personas con mayor altura, peso e IMC tendrían un DVNO mayor, sin embargo, este estudio demuestra que la predicción de dicha relación no es factible, y que los factores fisiopatológicos y la raza, son los que influencian el aumento del DVNO[30].
Por otro lado, evaluamos la concordancia entre la mediciones realizadas por personal entrenado en esta medición (correlación de Pearson de 0,621) (Grafico 2). Si bien este valor es reconocido como bueno, es lejano a ser excelente como se esperaba inicialmente. Esto se ha demostrado en investigaciones previas[21],[23],[29], donde se insta a incluir este tipo de habilidades en el aprendizaje del día a día del personal en entrenamiento.
Dentro de las fortalezas de nuestro estudio sobresale el poder estadístico atribuido al tamaño de la muestra, la cual se considera representativa de la población colombiana, aumentando la validez externa del estudio. Como limitación se reconoce que no existe un punto de referencia previo en esta población para comparar los resultados obtenidos.
-
Conclusiones
El promedio de la medición ultrasonográfica del DVNO en población sana colombiana es de 0,43 cm con una DE ± 0,07 cm, con un p25 = 0,38 cm y un p75 = 0,49 cm, lo cual se correlaciona de manera independiente con el peso, talla, TAM y género, pero no de manera multi-variada. Considerando que > 95% de las mediciones del DVNO fue < 0,55 cm, se infiere que valores > 0,55 cm podrían considerarse anormales para población adulta colombiana. Este estudio recalca que la medición ecográfica del DVNO a la cabecera del paciente, es un método útil, seguro, no invasivo y replicable, para el abordaje de los pacientes con HIC.
-
Aspectos Éticos
Todos los procedimientos se ajustaron a los principios establecidos en la Declaración de Helsinski de la Asociación Médica Mundial (AMM) y con lo establecido en La ley General de Salud (Título Quinto) de México, así como con las normas del Comité Científico y de Ética del Hospital Universitario de La Samaritana.
Los autores declaran no tener conflicto de intereses.
-
Referencias
1. Stein DM, Hu PF, Brenner M, Sheth KN, Liu KH, Xiong W, et al. Brief episodes of intracranial hypertension and cerebral hypoperfusion are associated with poor functional outcome after severe traumatic brain injury. J Trauma. 2011 Aug;71(2):364–73. https://doi.org/10.1097/TA.0b013e31822820da PMID:21825940
2. David Freeman W. Management of Intracranial Pressure [Internet]. Vol. 21, Continuum (Minneap Minn). 2015. Available from: www.ContinuumJournal.com
3. Yuan Q, Wu X, Sun Y, Yu J, Li Z, Du Z, et al. Impact of intracranial pressure monitoring on mortality in patients with traumatic brain injury: a systematic review and meta-analysis. J Neurosurg. 2015 Mar;122(3):574–87. https://doi.org/10.3171/2014.10.JNS1460 PMID:25479125
4. Juul N, Morris GF, Marshall SB, Marshall LF. Intracranial hypertension and cerebral perfusion pressure: influence on neurological deterioration and outcome in severe head injury*. Vol. 92. J Neurosurg. 2000. https://doi.org/10.3171/jns.2000.92.1.0001.
5. le Roux P, Menon DK, Citerio G, Vespa P, Bader MK, Brophy GM, et al. Consensus summary statement of the International Multidisciplinary Consensus Conference on Multimodality Monitoring in Neurocritical Care: A statement for healthcare professionals from the Neurocritical Care Society and the European Society of Intensive Care Medicine. Vol. 40, Intensive Care Medicine. Springer Verlag; 2014. p. 1189–209.
6. Andrews PJ, Citerio G, Longhi L, Polderman K, Sahuquillo J, Vajkoczy P. NICEM consensus on neurological monitoring in acute neurological disease. In: Intensive Care Medicine. 2008. p. 1362–70. https://doi.org/10.1007/s00134-008-1103-y.
7. Sussman ES, Kellner CP, Nelson E, McDowell MM, Bruce SS, Bruce RA, et al. Hemorrhagic complications of ventriculostomy: incidence and predictors in patients with intracerebral hemorrhage. J Neurosurg. 2014 Apr;120(4):931–6. https://doi.org/10.3171/2013.12.JNS131685 PMID:24410156
8. Lozier AP, Sciacca RR, Romagnoli MF, Connolly ES Jr. Ventriculostomy-related infections: a critical review of the literature [Internet]. Neurosurgery. 2002 Jul;51(1):170–81. Available from: www.neurosurgery-online.com https://doi.org/10.1097/00006123-200207000-00024 PMID:12182415
9. Robba C, Cardim D, Tajsic T, Pietersen J, Bulman M, Donnelly J, et al. Ultrasound non-invasive measurement of intracranial pressure in neurointensive care: A prospective observational study. PLoS Med. 2017 Jul;14(7):e1002356. https://doi.org/10.1371/journal.pmed.1002356 PMID:28742869
10. Dubourg J, Javouhey E, Geeraerts T, Messerer M, Kassai B. Ultrasonography of optic nerve sheathdiameter for detection of raised intracranialpressure: a systematic reviewand meta-analysis. Vol. 37, Intensive Care Medicine. Springer Verlag; 2011. p. 1051–3.
11. Toscano M, Spadetta G, Pulitano P, Rocco M, Di Piero V, Mecarelli O, et al. Optic Nerve Sheath Diameter Ultrasound Evaluation in Intensive Care Unit: Possible Role and Clinical Aspects in Neurological Critical Patients’ Daily Monitoring. BioMed Res Int. 2017;2017:1621428. https://doi.org/10.1155/2017/1621428 PMID:28421189
12. Agrawal A, Cheng R, Tang J, Madhok DY. Comparison of Two Techniques to Measure Optic Nerve Sheath Diameter in Patients at Risk for Increased Intracranial Pressure [Internet]. Crit Care Med. 2019 Jun;47(6):e495–501. Available from: http://journals.lww.com/00003246-201906000-00034 https://doi.org/10.1097/CCM.0000000000003742 PMID:30882482
13. Dubourg J, Javouhey E, Geeraerts T, Messerer M, Kassai B. Ultrasonography of optic nerve sheath diameter for detection of raised intracranial pressure: a systematic review and meta-analysis. Intensive Care Med. 2011 Jul;37(7):1059–68. https://doi.org/10.1007/s00134-011-2224-2 PMID:21505900
14. Dubourg J, Messerer M, Karakitsos D, Rajajee V, Antonsen E, Javouhey E, et al. Individual patient data systematic review and meta-analysis of optic nerve sheath diameter ultrasonography for detecting raised intracranial pressure: protocol of the ONSD research group. Syst Rev. 2013 Aug;2(1):62. https://doi.org/10.1186/2046-4053-2-62 PMID:23919384
15. Robba C, Santori G, Czosnyka M, Corradi F, Bragazzi N, Padayachy L, et al. Optic nerve sheath diameter measured sonographically as non-invasive estimator of intracranial pressure: a systematic review and meta-analysis. Intensive Care Med. 2018 Aug;44(8):1284–94. https://doi.org/10.1007/s00134-018-5305-7 PMID:30019201
16. Thotakura AK, Marabathina NR, Danaboyina AR, Mareddy RR. Role of serial ultrasonic optic nerve sheath diameter monitoring in head injury. Neurochirurgie. 2017 Dec;63(6):444–8. https://doi.org/10.1016/j.neuchi.2017.06.001 PMID:29122307
17. Anas I. Transorbital sonographic measurement of normal optic sheath nerve diameter in nigerian adult population. Malays J Med Sci. 2014;21(5):24–9. PMID:25977630
18. Shirodkar CG, Rao SM, Mutkule DP, Harde YR, Venkategowda PM, Mahesh MU. Optic nerve sheath diameter as a marker for evaluation and prognostication of intracranial pressure in Indian patients: an observational study. Indian J Crit Care Med. 2014 Nov;18(11):728–34. https://doi.org/10.4103/0972-5229.144015 PMID:25425840
19. Chen H, Ding GS, Zhao YC, Yu RG, Zhou JX. Ultrasound measurement of optic nerve diameter and optic nerve sheath diameter in healthy Chinese adults. BMC Neurol. 2015 Jul;15(1):106. https://doi.org/10.1186/s12883-015-0361-x PMID:26148482
20. Chan P, Mok K. Transorbital sonographic evaluation of optic nerve sheath diameter in normal Hong Kong Chinese adults. Vol. 15, FHKAM(Emergency Medicine). Hong Kong J Emerg Med. 2008;15(4):197–204. https://doi.org/10.1177/102490790801500402.
21. Bäuerle J, Lochner P, Kaps M, Nedelmann M. Intra- and interobsever reliability of sonographic assessment of the optic nerve sheath diameter in healthy adults. J Neuroimaging. 2012 Jan;22(1):42–5. https://doi.org/10.1111/j.1552-6569.2010.00546.x PMID:21121998
22. Hansen HC, Helmke K, Kunze K. Optic nerve sheath enlargement in acute intracranial hypertension. Neuroophthalmology. 1994;14(6):345–54. https://doi.org/10.3109/01658109409024061.
23. Lochner P, Coppo L, Cantello R, Nardone R, Naldi A, Leone MA, et al. Intra- and interobserver reliability of transorbital sonographic assessment of the optic nerve sheath diameter and optic nerve diameter in healthy adults. J Ultrasound. 2014 Nov;19(1):41–5. https://doi.org/10.1007/s40477-014-0144-z PMID:26941872
24. Soldatos T, Karakitsos D, Chatzimichail K, Papathanasiou M, Gouliamos A, Karabinis A. Optic nerve sonography in the diagnostic evaluation of adult brain injury. Crit Care. 2008;12(3):R67. https://doi.org/10.1186/cc6897 PMID:18477382
25. Garcia JP Jr, Garcia PT, Rosen RB, Finger PT. A 3-dimensional ultrasound C-scan imaging technique for optic nerve measurements. Ophthalmology. 2004 Jun;111(6):1238–43. https://doi.org/10.1016/j.ophtha.2003.10.026 PMID:15177978
26. Woster CM, Zwank MD, Pasquarella JR, Wewerka SS, Anderson JP, Greupner JT, et al. Placement of a cervical collar increases the optic nerve sheath diameter in healthy adults. Am J Emerg Med. 2018 Mar;36(3):430–4. https://doi.org/10.1016/j.ajem.2017.08.051 PMID:28865838
27. Stevens RR, Gommer ED, Aries MJ, Ertl M, Mess WH, Huberts W, et al. Optic nerve sheath diameter assessment by neurosonology: A review of methodologic discrepancies. J Neuroimaging. 2021 Sep;31(5):814–25. https://doi.org/10.1111/jon.12906 PMID:34270144
28. Romagnuolo L, Tayal V, Tomaszewski C, Saunders T, Norton HJ. Optic nerve sheath diameter does not change with patient position. Am J Emerg Med. 2005 Sep;23(5):686–8. https://doi.org/10.1016/j.ajem.2004.11.004 PMID:16140179
29. Cimilli Ozturk T, Demir H, Yorulmaz R, Ozdemir S, Isat G, Ecmel Onur O. Assessment of intra-interobserver reliability of the sonographic optic nerve sheath diameter measurement. Kaohsiung J Med Sci. 2015 Aug;31(8):432–6. https://doi.org/10.1016/j.kjms.2015.06.004 PMID:26228283
30. Sallam A, Abdelaal Ahmed Mahmoud M Alkhatip A, Kamel MG, Hamza MK, Yassin HM, Hosny H, et al. The Diagnostic Accuracy of Noninvasive Methods to Measure the Intracranial Pressure: A Systematic Review and Meta-analysis. Anesth Analg. 2021 Mar;132(3):686–95. https://doi.org/10.1213/ANE.0000000000005189 PMID:32991330
31. Chen LM, Wang LJ, Shi L, Chen HX, Jiang XH, Chen QQ, et al. Reliability of assessing non-severe elevation of intracranial pressure using optic nerve sheath diameter and transcranial doppler parameters. Front Neurol. 2019 Oct;10(OCT):1091. https://doi.org/10.3389/fneur.2019.01091 PMID:31695668
ORCID