Juan Sebastián Cabrera Hernández M.D. Mg.1,2,3 , Juan Esteban Gómez Tobar M.D.4, Carlos Arturo Laverde Rodríguez M.D. Mg1,2
Recibido: 14-11-2024
Aceptado: 23-12-2025
©2026 El(los) Autor(es) – Esta publicación es Órgano oficial de la Sociedad de Anestesiología de Chile
Revista Chilena de Anestesia Vol. 55 Núm. 1 pp. 123-127|https://doi.org/10.25237/revchilanestv55n1-18
PDF|ePub|RIS
Challenges of the anesthesiologist in the face of carcinoid heart disease: A case report
Abstract
Carcinoid syndrome is a frequent hormonal complication of neuroendocrine tumors, characterized by symptoms such as chronic diarrhea, facial flushing and bronchospasm, due to the release of serotonin and its metabolite 5HIAA (5-hydroxyindoleacetic acid). This condition, mostly associated with liver metastases, can trigger severe carcinoid heart disease, mainly affecting the tricuspid and pulmonary valves, leading to valvular insufficiency and, eventually, right heart failure. Carcinoid heart disease significantly reduces survival, with a 3-year survival rate of only 31% in affected patients. We present the case of a 59-year-old male patient with neuroendocrine carcinoma of the distal ileum metastatic to the liver (stage IV), who developed carcinoid syndrome and associated heart disease. Despite previous surgical management with hemicolectomy and treatment with octreotide, the patient presented progression of right heart failure of valvular origin. Tricuspid and pulmonary biological valve replacement surgery was scheduled, with perioperative management that included continuous infusion of octreotide and vasopressor and inotropic support. During surgery, vasoplegia and right ventricular dysfunction were managed with a favorable response to pharmacological therapy. This case highlights the importance of preoperative preparation with octreotide, constant invasive monitoring, and the choice of appropriate treatment to prevent complications such as carcinoid crisis, right ventricular dysfunction and vasoplegia. Adequate perioperative management and the use of specific pharmacological strategies are essential for surgical success in patients with carcinoid heart disease.
Resumen
El síndrome carcinoide es una complicación hormonal frecuente de los tumores neuroendocrinos, caracterizado por síntomas como diarrea crónica, flushing facial y broncoespasmo, debido a la liberación de serotonina y su metabolito 5HIAA (ácido 5-hidroxiindolacético). Esta condición, asociada en su mayoría a metástasis hepáticas, puede desencadenar una grave enfermedad cardíaca carcinoide, que afecta principalmente a las válvulas tricúspide y pulmonar, provocando insuficiencia valvular y, con el tiempo, insuficiencia cardíaca derecha. La enfermedad cardíaca carcinoide reduce significativamente la supervivencia, con una sobrevida de solo el 31% a los 3 años en los pacientes afectados. Se presenta el caso de un paciente masculino de 59 años con carcinoma neuroendocrino del íleon distal metastásico al hígado (Estadio IV), quien desarrolló síndrome carcinoide y enfermedad cardíaca asociada. A pesar de un manejo quirúrgico previo con hemicolectomía y tratamiento con octreotide, el paciente presentó progresión de la insuficiencia cardíaca derecha de origen valvular. Se programó una cirugía de reemplazo valvular biológico tricúspideo y pulmonar, con un manejo perioperatorio que incluyó infusión continua de octreotide y soporte vasopresor e inotrópico. Durante la cirugía, se manejó la vasoplejia y la disfunción ventricular derecha con una respuesta favorable a la terapia farmacológica. Este caso subraya la importancia de la preparación prequirúrgica con octreotide, la monitorización invasiva constante y la elección del tratamiento adecuado para prevenir complicaciones como crisis carcinoide, disfunción ventricular derecha y vasoplejia. La adecuada gestión perioperatoria y el uso de estrategias farmacológicas específicas son esenciales para el éxito quirúrgico en pacientes con enfermedad cardíaca carcinoide.
-
Introducción
El carcinoma neuroendocrino (CNE) es un tumor raro que se origina en las células neuroendocrinas y puede afectar diversos órganos, siendo el íleon distal uno de los sitios comunes. La diseminación metastásica a otros órganos, como el hígado, es frecuente en etapas avanzadas de la enfermedad. En estos casos, la liberación de sustancias vasoactivas, como la serotonina, da lugar al síndrome carcinoide, un trastorno que afecta significativamente la calidad de vida del paciente y puede comprometer el sistema cardiovascular. La enfermedad cardíaca carcinoide, una complicación grave de este síndrome, se caracteriza por el depósito de material fibroso en las válvulas del corazón, especialmente en la válvula tricúspide y pulmonar, lo que conduce a insuficiencia valvular y disfunción ventricular derecha.
Diversos estudios han documentado la relación entre los tumores neuroendocrinos metastásicos y las complicaciones cardiovasculares, destacando la importancia de una evaluación preoperatoria exhaustiva y un manejo perioperatorio adecuado. La administración de octreotide, un análogo de la somatostatina, se ha establecido como una herramienta clave para prevenir crisis carcinoide y controlar la liberación de sustancias vasoactivas. Sin embargo, el manejo quirúrgico y anestésico de estos pacientes sigue siendo un reto.
Este caso clínico tiene como objetivo revisar la preparación y el manejo perioperatorio de un paciente con carcinoma neuroendocrino metastásico y enfermedad cardíaca carcinoide, destacando la importancia de estrategias terapéuticas específicas para evitar complicaciones graves durante la cirugía.
-
Caso clínico
Paciente masculino de 59 años, 54 kg, talla 170 cm, con carcinoma neuroendocrino del íleon distal metastásico a hígado, T: 2 N: X M: 1 Estadio: IV, sin otros antecedentes relevantes, manejado quirúrgicamente en el 2017, con hemicolectomía derecha y octreotide cada 28 días; sin embargo, para el 2024 con progresión de síntomas sugestivos de síndrome carcinoide, elevación de 5HIAA (ácido 5-hidroxiindolacético), disminución de clase funcional NYHA (New York Heart Association) II/IV y edema bilateral de miembros inferiores. Al examen físico evidencia de soplo holosistólico grado III/VI en foco tricuspídeo y pulmonar eyectivo, desdoblamiento fijo del S2.
Ecocardiograficamente se evidenció una enfermedad cardíaca carcinoide con compromiso de válvula tricúspidea con insuficiencia torrencial severa (valvas engrosadas y abiertas permanentemente – vena contracta 2 cm) e insuficiencia pulmonar severa (valvas engrosadas – regurgitación desde las ramas pulmonares – insuficiencia IV/IV), con un ventrículo izquierdo de tamaño normal con función sistólica conservada (FEVI 60%), sin aumento de las presiones de fin de diástole, un ventrículo derecho con un aumento severo de tamaño con función sistólica conservada (TAPSE 27 mm – CAF 49,6%), válvula mitral y aortica normales, y baja probabilidad de hipertensión pulmonar (Figura 1 A y B). Adicionalmente, el cateterismo cardíaco no evidencia enfermedad coronaria y el doppler de vasos del cuello no mostró lesiones significativas. Previo consentimiento del paciente es programado para cambio valvular biológico tricúspideo y pulmonar.
Los laboratorios prequirúrgicos evidenciaron hemograma, función renal y tiempos de coagulación normales, TSH elevada (15,5), T4L disminuida (0,72), PROBNP 6386 – 1377, HbA1c 6,19%. Además, se ajusta suplencia hormonal tiroidea, manejo de falla cardíaca, prevención de fibrilación auricular posoperatoria con ácido ascórbico.
El paciente es ingresado a la unidad de cuidado intensivo cardiovascular y se le administra octreotide en infusión continua a 50 mcg/h durante 12 h antes de la cirugía.
La clasificación del riesgo prequirúrgico fue ASA 3, Euroscore II 2%, Cleveland score 0,4%, ACTA PORT score 59,9%, POAF score 1 punto.
Se premedicó un día antes de la cirugía con alprazolam 0,25 mg cada 8 h e hidroxicina 25 mg vía oral.
El día de la cirugía, monitorización básica, NIRS, línea arterial radial izquierda, profilaxis antibiótica con cefazolina y amikacina, se administró octreotide 100 mcg en bolo y se man-
tuvo infusión de octreotide a 100 mcg/h titulada durante todo el intraoperatorio. Se realizó una inducción endovenosa con midazolam 5 mg, propofol 50 mg, vecuronio 6 mg, fentanil 250 mcg. Se aseguró la vía aérea sin complicación. Se insertó un catéter venoso central e introductor yugular interno derecho y se avanzó catéter de arteria pulmonar.
Para el control del sangrado se administró ácido tranexámi- co bolo de 500 mg e infusión a 2 mg/kg/h. El mantenimiento anestésico fue con fentanil 3 mcg/kg/h y sevoflorane 1 Vol%.
Previo a entrar en circulación extracorpórea se mantuvo la presión arterial media mayor a 65 mmHg con vasopresina a 2 unidades/h y dos bolos de octreotide, cada uno de 20 mcg. Se anticoaguló con heparina no fraccionada 350 UI/kg para un ACT 999. El tiempo de CEC fue 151 minutos y el tiempo de clampeo aórtico fue 103 minutos. Las presiones de perfusión durante CEC se mantuvieron entre 55 – 65 mmHg. Se realizó el destete escalonado 25% – 50% – 75% de la CEC con evidencia en el ECOTE de disfunción ventricular derecha severa (Figura 2), por lo que se inició dobutamina 5 mcg/kg/min, se tituló vasopresina hasta 6 unidades/h y se administraron 3 bolos de octreotide, cada uno de 20 mcg, para un total de 100 mcg.
Se logró el destete de CEC con persistencia de un perfil vasopléjico por lo que se administró azul de metileno 1 mg/kg en bolo e infusión a 0,5 mg/kg/h, con una mejoría notable en la presión arterial media. Se evidenció sangrado auricular derecho que se reparó quirúrgicamente, se decidió dejar empaquetamiento mediastinal. Debido al episodio de sangrado agudo, se presentó un episodio de hipotensión a pesar de la titulación del soporte farmacológico ya instaurado, administración de líquidos cristaloides y transfusión de una unidad de glóbulos rojos, por lo que se inició infusión de adrenalina a 0,1 mcg/ kg/min, con mejoría de las cifras de tensión arterial media y contractilidad. Se revirtió la heparina con protamina en relación 0,8:1 presentando desaturación y aumento de las presiones de la arteria pulmonar, configurando una reacción transitoria a la protamina que resolvió a los pocos minutos. El tromboelastograma fue normal. Se ajustó la ventilación mecánica con metas de protección del ventrículo derecho.
El ecocardiograma TE al final de la cirugía mostró un CAF 20%, FEVI conservada, válvulas protésicas sin parafugas, insuficiencia tricúspidea leve.
Figura 1 A y B. A: ECG TT Plano apical 4 cámara. Válvula tricúspide con valvas abiertas de forma permanente con engrosamiento y retracción de estas (0,6 cm), sin cierre, con insuficiencia torrencial; B: ECG TT Plano transversal grandes vasos. Compromiso válvula pulmonar con engrosamiento y retracción de sus valvas, limitación en apertura y cierre con insuficiencia severa.
Figura 2. ECG TE proyección medio esofágica 4 cámaras a 0°. Ventrículo derecho dilatado, septo interventricular desplazado hacia la izquierda por sobrecarga de volumen y presión.
Se dio analgesia con un bloqueo fascial pecto intercostal bilateral con bupivacaina al 0,25% sin epinefrina guiado por ecografía, paracetamol 1 g e hidromorfona 0,6 mg.
El paciente fue traslado a la unidad de cuidados intensivos con vasopresina 4 UI/h, dobutamina 5 mcg/kg/min, adrenalina 0,1 mcg/kg/min y azul de metileno 0,5 mg/kg/h. Fue desempaquetado a las 48 h con extubación exitosa. Se logró el destete del soporte vasopresor e inotrópico. Se suspendió infusión de octreotide 100 mcg/h a las 72 h posoperatorias. No presentó crisis carcinoide perioperatoria ni otras complicaciones durante la estancia en UCI. Traslado a piso de hospitalización a los 7 días con ECOTT FEVI 60%, ventrículo derecho con función sistólica levemente deprimida, prótesis biológicas sin parafugas y patrón Doppler color normal (Figura 3 A y B).
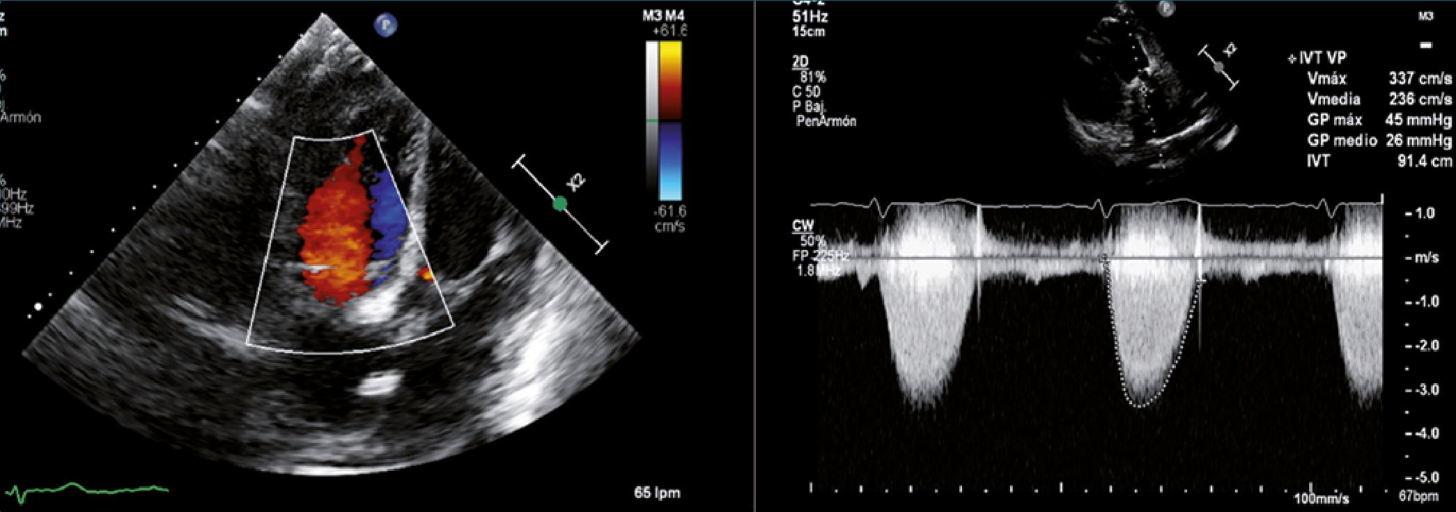
Figura 3. A y B. A: ECG TT plano apical 4 cámaras. Prótesis biológica en posición tricúspide con Doppler color que descarta fugas para valvulares, sin evidencia de insuficiencia transprotésica; B: ECG TT plano transversal grandes vasos. Doppler continuo a nivel de la bioprótesis pulmonar que permite calcular un Gradiente pico 45 mmHg, Gradiente medio: 26 mmHg, velocidad Max 3,36 ms/s considerándose prótesis biológica normo funcionante.
-
Discusión
El síndrome carcinoide es la complicación hormonal más frecuente de los tumores neuroendocrinos, presentándose entre el 19% al 35% de los pacientes y se caracterizada por diarrea crónica (60% – 80%), flushing facial (90%) y bronco- espasmo (15%), más elevación de los niveles de serotonina o su metabolito 5HIAA (ácido 5-hidroxiindolacético)[1]. En este síndrome, entre el 87% al 100% de los casos tienen metástasis hepática, puesto que, para el desarrollo de los síntomas se requiere que las hormonas liberadas no sean degradadas por el hígado a través del sistema porta[1].
Por su parte, la enfermedad cardíaca carcinoide es una rara y compleja complicación, que se presenta entre el 20% al 50% de los casos, que reduce la supervivencia a 3 años a 31% versus 69% en pacientes sin compromiso cardíaco[2]; además, se caracteriza por la presencia de depósitos fibrosos en forma de placa en las válvulas cardíacas y superficies endocárdicas, llevando a enfermedad valvular (estenosis y/o insuficiencia), especialmente en más del 90% de los casos, la válvula pulmonar y la válvula tricúspidea, progresando a falla cardíaca derecha[3]. Esto, debido a que las sustancias vasoactivas liberadas por el tumor neuroendocrino son secretadas directamente a la vena cava inferior, alcanzando y comprometiendo el lado derecho del corazón[3].
El manejo perioperatorio del paciente con enfermedad cardíaca carcinoide tiene dos retos; en primer lugar, evitar desencadenar una crisis carcinoide disminuyendo todas las acciones que lleven a la liberación de factores que la precipiten y, en segundo lugar, prevenir un estado de bajo gasto cardíaco derecho secundario a una falla ventricular derecha o hacer una rápida identificación del curso de esta y darle un óptimo trata- miento[4].
La evaluación preoperatoria debe centrarse en los niveles bioquímicos el tumor carcinoide (subrogado de la carga tumoral), evolución de los síntomas de acuerdo con el manejo instaurado, la existencia de potenciales desencadenantes y la clasificación del riesgo[5]. Además, se debe determinar la presencia de factores de riesgo mayor, como: hipertensión pulmonar, dilatación auricular derecha, presión venosa central elevada, severidad de la enfermedad valvular tricúspidea y disfunción ventricular derecha[5].
Como parte de la monitoria invasiva, la ecocardiografía transesofágica y el monitoreo cardíaco continuo a través de un catéter de arteria pulmonar, juegan un papel importante para el diagnóstico diferencial de tres condiciones que pueden generar inestabilidad hemodinámica en estos pacientes: una crisis carcinoide, vasoplejia o disfunción ventricular derecha[4]. Es por esto por lo que, en este paciente, fue rápida la identificación de la falla ventricular derecha al momento del destete de la circulación extracorporea, llevando a tomar decisiones acertadas en cuanto al tipo de soporte vasopresor e inotrópico requerido por el paciente.
Ahora bien, la piedra angular de esta enfermedad es el octreoite, un análogo de la somatostatina de larga acción que se une a los receptores de la somatostatina en las células de los tumores neuroendocrinos, útil como medicamento de primera línea para el bloqueo de la secreción de agentes vasoactivos[1]. En este caso, aplicamos el algoritmo del Mount Sinai[5], que empieza en el preoperatorio con una infusión de octreotide entre 50 – 100 mcg/h al menos 12 h antes de la cirugía; durante la inducción, un bolo de 50 a 100 mcg; en caso de crisis carcinoide, bolos de 20 a 100 mcg cada 5 minutos o titulación de la infusión hasta 300 mcg/h; finalmente, se mantiene la infusión hasta 48 h posoperatorias.
En nuestro caso, el octreotide se inicio 12 h previo a la cirugía, se mantuvo todo el intraoperatorio y se suspendió a las 72 h, teniendo en cuenta que el paciente fue llevado a cierre esternal en un segundo tiempo quirúrgico; además, se usaron bolos intermitentes de acuerdo con la hemodinamia del paciente durante el intraoperatorio, especialmente en el destete de la bomba de circulación extracorporea.
También, se deben evitar medicamentos que promuevan la liberación de histamina o exacerben la secreción de catecolaminas, puesto que pueden estimular a las células carcinoides a secretar una variedad de sustancias (taquicininas, calicreína, prostaglandinas, insulina, glucagón, sustancia P, dopamina, gastrina, neuropéptido K) que desencadenarían una crisis carcinoide[5]. Para nuestro caso, evitamos el uso de morfina y rocuronio, empleando infusión de fentanil intraoperatorio, hidromorfona como opioide de transición, bloqueo fascial pecto intercostal y vecuronio, logrando un muy buen control del dolor y grado de relajación neuromuscular adecuado para el procedimiento.
De igual forma, se debe evitar el uso de noradrenalina, ya que activa la calicreina por medio de los receptores de catecolaminas en las células del tumor carcinoide; lo cual, lleva a la transformación de los cininógenos en bradicinina, potente vasodilatador, produciendo un estado significativo de hipotensión arterial[4]. Es por esto, que en nuestro caso ante eventos de hipotensión secundarios a vasoplejia se administró vasopresina y azul de metileno, con muy buena recuperación de las cifras de tensión arterial media. Además, en el caso, es llamativo que por el estado de disfunción ventricular derecha posterior a la salida de la circulación extracorporea y la inestabilidad secundaria al sangrado agudo, se empleó dobutamina y epinefrina a dosis efecto beta, sin presentación clínica de crisis carcinoide; esto, probablemente por el mantenimiento y titulación de la infusión de octreotide.
Finalmente, a través de este caso, se destaca la importancia de una oportuna preparación con octreotide según el algoritmo del Mount Sinai y el establecimiento de un plan anestésico preventivo en busca de disminuir la incidencia de eventos adversos mayores, como una crisis carcinoide; así mismo, la importancia de la monitoria cardíaca intraoperatoria continua con el eco- cardiograma transesofágico y el catéter de arteria pulmonar; y además, la importancia de la escogencia del tratamiento farmacológico adecuado de acuerdo a los tres posibles escenarios en estos pacientes: crisis carcinoide, vasoplejia y disfunción ventricular derecha.
Copyright: Los autores autorizamos la cesión de los derechos de propiedad intelectual del artículo a la Revista Chilena de Anestesiología.
Declaración de originalidad: Ninguna. El estudio no ha sido enviado a otra revista científica nacional o internacional.
Asistencia para el reporte: Ninguna.
Financiamiento: Ninguno.
Conflicto de intereses: Ninguno.
Contribuciones de los autores
CHJS: Planificación del reporte, obtención de la información, redacción del manuscrito.
GTJE: Planificación del reporte, interpretación de las imágenes.
LRCA: Planificación del reporte.
Principios bioéticos
Los autores respetamos los principios éticos de la Asociación Médica Mundial y la Declaración de Helsinki. Además, se guarda la privacidad y el anonimato del paciente, y se está en posesión del consentimiento informado y del consentimiento del comité de ética de la institución donde se presentó el caso.
Agradecimientos: Ninguno.
-
Referencias
1. Grozinsky-Glasberg S, Davar J, Hofland J, Dobson R, Prasad V, Pascher A, et al. European Neuroendocrine Tumor Society (ENETS) 2022 guidance paper for carcinoid syndrome and carcinoid heart disease. J Neuroendocrinol. 2022 Jul;34(7):e13146. https://doi.org/10.1111/jne.13146 PMID:35613326
2. Davar J, Connolly HM, Caplin ME, Pavel M, Zacks J, Bhattacharyya S, et al. Diagnosing and managing carcinoid heart disease in patients with neuroendocrine tumors: an expert statement. J Am Coll Cardiol. 2017 Mar;69(10):1288–304. https://doi.org/10.1016/j.jacc.2016.12.030 PMID:28279296
3. Delhomme C, Walter T, Arangalage D, Suc G, Hentic O, Cachier A, et al. Carcinoid heart disease in patients with midgut neuroendocrine tumours. J Neuroendocrinol. 2023 Apr;35(4):e13262. https://doi.org/10.1111/jne.13262 PMID:37005217
4. Sarridou DG, Gkiouliava A, Argiriadou H, Mouratoglou SA, Mitchell JB, Walker CP. Perioperative management of a double valve replacement and coronary artery bypass graft in a patient with carcinoid syndrome; a case report and literature review. Perfusion. 2024;02676591241247977: https://doi.org/10.1177/02676591241247977 PMID:38626318
5. Castillo J, Silvay G, Weiner M. Anesthetic management of patients with carcinoid syndrome and carcinoid heart disease: the Mount Sinai algorithm. J Cardiothorac Vasc Anesth. 2018 Apr;32(2):1023–31. https://doi.org/10.1053/j.jvca.2017.11.027 PMID:29273478
ORCID

