Héctor J. Lacassie Q. * y Mauricio Vasco R. **
Reve Chil Anest Vol. 42 Número 1 pp. 88-96|doi:
PDF|ePub|RIS
Introducción
La paciente embarazada con hipertensión pulmonar constituye un desafío mayor dada la gravedad de la enfermedad cardiopulmonar preexistente junto a los cambios propios del embarazo, que normalmente agrava la enfermedad de base, asociándose frecuentemente con morbimortalidad materna y fetal. Es por lo tanto, un desafío anestesiológico y médico en general. Debido a los avances en el manejo médico y quirúrgico, la expectativa de vida de muchas mujeres con enfermedades cardíacas congénitas ha aumentado, lo que se traduce en que están llegando a la edad fértil y se están embarazando 1 .
La hipertensión de arteria pulmonar se caracteriza por una obstrucción y obliteración difusa de las arterias pulmonares más pequeñas. Cuando se ocluye un número suficiente de vasos, la resistencia al flujo sanguíneo por los pulmones aumenta y el ventrículo derecho intenta compensar generando mayor presión para mantener el flujo sanguíneo pulmonar. Cuando el ventrículo derecho no puede lograrlo por el aumento de la resistencia, se desarrolla insuficiencia cardíaca progresiva y eventualmente la muerte. Su incidencia global es de 15 casos por millón 2 .
En la presente revisión se intentará describir las características de este cuadro junto con el manejo anestesiológico y perioperatorio de estas pacientes.
-
Definición
La hipertensión pulmonar es una enfermedad progresiva que produce un aumento sostenido de al menos 25 mmHg en la presión arterial pulmonar media junto a un aumento en la resistencia vascular pulmonar. Esto inevitablemente da cabida a una dilatación e hipertrofia ventricular derecha progresando a insuficiencia cardíaca que puede ser terminal 3 . El diagnóstico de hipertensión pulmonar se hace por medio de la medición de las presiones de arteria pulmonar realizadas con cateterismo cardiaco. El diagnóstico se define por un valor de presión de arteria pulmonar media mayor a 25 mmHg en reposo o mayor a 30 mmHg durante el ejercicio, asociados a una presión de capilar pulmonar (o presión de aurícula izquierda o presión de fin de diástole de ventrículo izquierdo) menor a 15 mmHg y resistencia vascular pulmonar mayor a 3 unidades Wood 2 .
-
Etiología
Las causas de esta enfermedad son multifactoriales. Se han clasificado en cinco grupos, destacando: hipertensión arterial pulmonar propiamente tal, hipertensión pulmonar asociada a enfermedad cardíaca izquierda, hipertensión pulmonar asociada a enfermedad pulmonar e hipoxemia, hipertensión pulmonar asociada a enfermedad tromboembólica crónica o embolia crónica y causas misceláneas (Tabla 1).
Tabla 1 Clasificación (Adaptado de la Clasificación Revisada de Hipertensión Pulmonar de la OMS 2 )
|
1. Hipertensión de arteria pulmonar (PAH) 1.1. Idiopática (IPAH) 1.2. Familiar (FPAH) 1.3. Asociada a (APAH): 1.3.1. Trastorno de tejido conectivo 1.3.2. Shunts sistémico-pulmonares congénitos 1.3.3. Hipertensión portal 1.3.4. Infección por VIH 1.3.5. Drogas y toxinas 1.3.6. Otros (trastornos tiroideos, enfermedad por depósitos, enfermedad de Gaucher, telangiectasia hemorrágica hereditaria, hemoglobinopatías, trastornos mieloproliferativos crónicos, esplenectomía) 1.4. Asociados a compromiso venoso o capilar significativo 1.4.1. Enfermedad veno-oclusiva pulmonar (PVOD) 1.4.2. Hemangiomatosis capilar pulmonar (PCH) 1.5. Hipertensión pulmonar persistente del recién nacido |
|
2. Hipertensión pulmonar con enfermedad cardiaca izquierda 2.1. Enfermedad cardiaca auricular o ventricular izquierda 2.2. Enfermedad valvular izquierda |
|
3. Hipertensión pulmonar asociada a enfermedad pulmonar y/o hipoxemia 3.1. Enfermedad pulmonar obstructiva crónica 3.2. Enfermedad pulmonar intersticial 3.3. Trastornos ventilatorios del sueño 3.4. Trastornos de hipoventilación alveolar 3.5. Exposición crónica a la altura 3.6. Trastornos de desarrollo |
|
4. Hipertensión pulmonar por enfermedad trombótica y/o embólica crónica (CTEPH) 4.1. Obstrucción tromboembólica de las arterias pulmonares proximales 4.2. Obstrucción tromboembólica de las arterias pulmonares distales 4.3. Embolia pulmonar no trombótica (tumor, parásitos o material extraño) |
|
5. Misceláneas: sarcoidosis, histiocitosis X, linfangiomatosis, compresión de vasos pulmonares (adenopatía, tumor o fibrosis mediastínica) |
La hipertensión pulmonar es ciertamente más prevalente que lo reportado en países en desarrollo donde las enfermedades relativamente comunes como la esquistosomiasis, la enfermedad de células falciformes, la infección por VIH, la cirrosis hepática y las enfermedades cardíacas congénitas y adquiridas (como secuelas de enfermedad valvular reumática) pueden originar una enfermedad vascular pulmonar. Además, la hipoxia es un factor de riesgo mayor para la hipertensión pulmonar con más de 140 millones de individuos viviendo sobre 2.500 m sobre el nivel del mar, incluyendo a 80 millones en Asia y 35 millones en Sudamérica 4 .
Interesantemente, la miríada de etiologías aparentemente no relacionadas, muchas de ellas comparten una entidad histopatológica común, que explica en gran parte la sintomatología de la enfermedad.
-
Patogenia
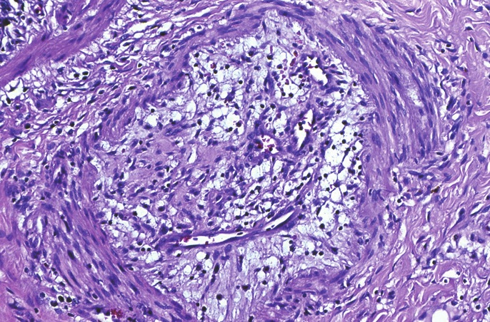
En la hipertensión pulmonar asociada a trastornos cardíacos o pulmonares las características patológicas típicas asociadas a la enfermedad estarán presentes en la patogenia de estas condiciones o de la enfermedad de base. Sin embargo, es distinta de la patogenia de la hipertensión pulmonar primaria. Lo que se sabe, es que hay vasoconstricción inicial y luego migración de fibras musculares lisas desde la mitad interna de la capa muscular media de las arteriolas pulmonares hacia el lumen vascular. Estas células se transforman en miofibroblastos capaces de depositarse como fibras musculares lisas o tejido fibroso. Una vez en el lumen, las células proliferan en forma concéntrica y finalmente obliteran el lumen. A medida que este proceso se desarrolla, el radio del lumen se cierra y la resistencia al flujo aumenta. Cuando se secciona y se examina bajo microscopio los vasos tienen una apariencia característica, la que habitualmente se le ha denominado proliferación en capas de cebolla. En los puntos proximales de debilidad del vaso sanguíneo, lo que usualmente ocurre en las axilas de las ramificaciones, los vasos se distienden, se rompen y se produce hemorragia. Vasos de neoformación crecen en el área hemorrágica en una forma desorganizada y plexiforme. La combinación de proliferación concéntrica en capas de cebolla asociada al crecimiento vascular plexiforme, se conoce como arteriopatía plexiforme pulmonar 5 (Figura 1).

Figura 1 Microfotografía que muestra una rama de pequeño calibre de la arteria pulmonar con oclusión del lumen, fibrosis laxa y vasos sanguíneos de neoformación. Aumento 200x, hematoxilina y eosina. Cortesía del Dr. Sergio González B. Departamento de Anatomía Patológica, Facultad de Medicina UC.
Esta patogenia es diferente de lo que ocurre en la hipertensión pulmonar asociada a enfermedad pulmonar oclusiva crónica, donde las células musculares lisas migran al lumen del vaso pero en forma longitudinal, lo que produce menor compromiso de su luz y por lo tanto, la hipertensión pulmonar es menor.
Ciertos trastornos genéticos como la mutación de la proteína del receptor morfo genético óseo tipo II (BMPR2), que favorecen el crecimiento y proliferación celular inapropiada, puede ser un factor importante en la remodelación vascular de ciertos tipos de hipertensión pulmonar de origen familiar 6 . Otros factores incluyen inflamación, disfunción celular endotelial y trombosis in situ.
-
Manifestaciones clínicas
La hipertensión arterial pulmonar destaca por ser un cuadro de difícil diagnóstico 4 . En etapas tempranas de la enfermedad los pacientes generalmente son asintomáticos. Los síntomas iniciales incluyen disnea, intolerancia al ejercicio y fatiga, síntomas poco específicos y poco relevantes que orientan a los familiares y a los médicos a asumir que los pacientes simplemente están fuera de forma. Más tarde los síntomas generalmente se atribuyen a una enfermedad cardiorrespiratoria más común. Como resultado, generalmente hay un retraso sustancial en el diagnóstico y en el inicio del tratamiento. La detección precoz todavía es inadecuada 4 .
Las características clínicas y la historia natural de la hipertensión arterial pulmonar típicamente incluye los síntomas de: disnea (60%), fatiga (19%), síncope (8%), dolor torácico (7%), palpitaciones (5%) y edema de extremidades (3%). El curso clínico varía considerablemente pero en individuos sin tratamiento, gradualmente se deteriora su condición con una sobrevida de 2,8 años después del diagnóstico. La capacidad funcional clínica se correlaciona estrechamente con la sobrevida.
Las mujeres tienen el doble de riesgo de presentar la enfermedad que los hombres, sin embargo, la gravedad y desenlace parecen ser similares en ambos sexos. Reportes anecdóticos sugieren una posible asociación entre la hipertensión de arteria pulmonar familiar y el embarazo o el uso de terapia estrogénica.
El estrés fisiológico del embarazo en una paciente con hipertensión pulmonar es significativo y se cree que la mortalidad materna es elevada, sin embargo, está por verse si las nuevas terapias disponibles pudieran disminuir este riesgo.
Los signos y síntomas de la hipertensión pulmonar primaria se relacionan al compromiso del ventrículo derecho y su insuficiencia. La disnea es causada por una disminución del débito cardíaco y una alteración de la relación ventilación/perfusión pulmonar. El síncope se produce por un débito cardiaco fijo asociado a la imposibilidad del corazón de responder a la demanda con un aumento en el débito. La angina es común y probablemente resulta por la isquemia del ventrículo derecho secundaria al aumento de la postcarga del mismo ventrículo. Otros signos y síntomas incluyen fatiga, edema y cianosis periférica. Ocasionalmente puede desarrollarse disfonía por la presión generada por una arteria pulmonar aumentada de tamaño que altera al nervio laríngeo recurrente, lo que se conoce como el síndrome de Ortner.
Los factores pronósticos de hipertensión pulmonar incluyen síntomas caracterizados por la capacidad funcional, tolerancia al ejercicio y factores hemodinámicos. Muchas de estas variables pronosticas se relacionan a la función ventricular derecha. En los pacientes con capacidad funcional I y II la sobrevida media es de seis años, comparado con 2,5 años para capacidad funcional III y 6 meses para aquéllos con capacidad funcional IV.
La tolerancia al ejercicio habitualmente se evalúa con la prueba de distancia caminada en seis minutos (6MW) donde un valor menor a 150 m se asocia a un muy mal pronóstico. También se ha utilizado el test de esfuerzo cardiovascular con consumo de oxígeno máximo donde un valor mayor a 10,4 ml·kg-1·min-1 (equivalente a 3 METS) y con una presión arterial sistólica sistémica máxima mayor a 120 mmHg, son factores pronósticos favorables. Factores de mal pronóstico incluyen: rápida progresión de síntomas, distancia en 6MW menor a 300 m, ecocardiografía con signos de derrame pericárdico, hipertrofia ventricular derecha significativa o disfunción e hipertrofia auricular derecha. En la resonancia magnética, evidencias de disfunción ventricular derecha con volumen de eyección menor o igual a 25 ml·m-2, evidencia de dilatación ventricular derecha progresiva medida por volumen de fin de diástole del ventrículo derecho mayor o igual a 84 ml·m-2 y compromiso del diástole ventricular izquierdo dado por un volumen del fin de diástole del ventrículo izquierdo menor a 40 ml·m-2 7 . Como parámetros hemodinámicos son factores pronósticos una presión de aurícula derecha mayor de 20 mmHg e índice cardíaco menor a 2 l·min-2·m-2. Finalmente, un péptido natriurético cerebral significativamente elevado o padecer algún trastorno del espectro de enfermedades de la esclerodermia, son índices de mal pronóstico.
Recientemente se ha publicado en Estados Unidos la tasa (entre 2003 a 2006), de cuasi eventos para morbilidad o mortalidad obstétrica (en el continuo de los desenlaces obstétricos, el cuasi evento está entre la morbilidad materna grave y la mortalidad materna), llegando a 1,3 por 1.000 hospitalizaciones (IC 95% 1,3-1,4), donde la hipertensión pulmonar es la comorbilidad que mayor tasa de cuasi eventos tiene, con 98 casos por cada 1.000 partos (IC 95% 72-125), lo que implica que 10% de los casos de hipertensión pulmonar se complicará con un cuasi evento para morbilidad o mortalidad 8 . Este análisis resalta la importancia de un control perinatal cercano y comprometido, involucrando a múltiples especialidades.
El pronóstico de la enfermedad es reservado, con una mortalidad que va desde 5% a más de 30% el primer año, dependiendo de la población que se estudie y de los factores de riesgo que presenten 9 . La sobrevida media de la enfermedad es de 2,8 años (IC 95%, 1,9 a 3,7 años), con probabilidad de sobrevida a 3 y 5 años de 48% (IC 95%, 41% a 55%) y 34% (IC 95%, 24% a 44%) respectivamente.
-
Exámenes de laboratorio
-
Radiografía de tórax: es un examen de tamizaje inicial para la evaluación de hipertensión pulmonar. Puede evidenciarse aumento en el tamaño de las arterias pulmonares centrales, amputación de la vasculatura pulmonar en la visión ántero-posterior y reducción de la translucencia retroesternal en la visión lateral (por la hipertrofia ventricular derecha).
-
Electrocardiograma: si bien es poco sensible e inespecífico para diagnóstico de hipertensión pulmonar, orienta a detectar los hallazgos habituales del síndrome: desviación del eje eléctrico a la derecha, hipertrofia ventricular derecha y anormalidad en las ondas T y segmento ST en cara anterior, consistente con la sobrecarga de trabajo del ventrículo derecho. También es posible detectar el característico patrón S1Q3T3, que representa onda S en la derivación D I (S1), asociado a la presencia de onda Q y onda T negativa en la derivación D III (Q3 y T3) 11 (Figura 2).
-
Ecocardiografía transesofágica: es un muy buen examen que permite una evaluación morfológica y funcional del corazón. Normalmente se detecta insuficiencia tricuspídea, lo que permite estimar la presión arterial pulmonar sistólica, ya que ésta se lleva a cabo por medio de la medición de la velocidad máxima de la insuficiencia tricuspídea y transformándola con la ecuación modificada de Bernoulli que posibilita la conversión a valores de presión.

Figura 2 Trazado electrocardiográfico característico de un patrón S1Q3T3 sugerente de hipertensión pulmonar. Se observa onda S en D I, onda Q en D III y onda T negativa en D III.
-
Relación con el embarazo
Entre las mujeres de edad reproductiva aproximadamente 8% de los cuadros de hipertensión pulmonar se asocian con el embarazo. Es posible que el embarazo inicie la hipertensión pulmonar en algunas mujeres, sin embargo, es más probable que los síntomas de una enfermedad preexistente se desenmascaren por el estrés hemodinámico del embarazo. Cuando los síntomas aparecen durante el embarazo el diagnóstico sólo se hace luego de excluir otras causas de hipertensión pulmonar. Estas incluyen: síndrome anafilactoídeo del embarazo (ex embolia de líquido amniótico), embolia trofoblástica, tromboembolismo pulmonar, hipertensión obliterativa y síndrome de Eisenmenger 12 .
La relación entre hipertensión pulmonar y embarazo es una combinación ominosa. La mortalidad materna es muy alta y ocurre generalmente durante el parto o en el post parto inmediato. La muerte usualmente es precipitada por una falla ventricular derecha. El valor absoluto de presión de arteria pulmonar es un mal indicador de la gravedad. Factores que se asocian a mal pronóstico en la embarazada son hipertrofia ventricular derecha, índice cardíaco bajo, aumento de presión auricular derecha y aumento en la resistencia vascular pulmonar 3 .
-
Tratamiento
El tratamiento de la hipertensión pulmonar ha evolucionado considerablemente en la última década en parte por los avances en el conocimiento de la fisiopatología de la enfermedad y de la disponibilidad de fármacos. Los resultados son variables principalmente porque la mayoría de los tratamientos son dirigidos a pacientes del grupo I, incluyendo aquéllos con hipertensión pulmonar asociada a enfermedad de tejido conectivo y anorexígenos, los que no pueden ser extrapolados a otros tipos de hipertensión pulmonar, como aquéllos secundarios a enfermedad cardíaca izquierda, enfermedad hipoxémica pulmonar, entre otros 2 .
Los objetivos del tratamiento son mejorar los síntomas, principalmente la disnea, aumentar la capacidad funcional y tolerancia al ejercicio, disminuir las presiones de arteria pulmonar a la vez que se normalice el débito cardiaco, prevenir la progresión de la enfermedad, las hospitalizaciones, la necesidad de un trasplante pulmonar y mejorar la sobrevida 2 .
Como medidas generales se recomienda la realización de ejercicio físico aeróbico suave (no isométrico), evitar exposición a la altura, utilizar oxígeno suplementario en vuelos comerciales, especialmente si la SaO2 pre vuelo es menor a 92% 13 y restricción de sal en la dieta, especialmente en pacientes con insuficiencia cardíaca derecha. El embarazo es una condición que agrava el delicado equilibrio que pueden lograr estas pacientes, alcanzando mortalidad de 30 a 50% 14 , por lo que debe ser desincentivado.
La terapia de base incluye la utilización de tratamiento anticoagulante crónico, diuréticos, oxígeno suplementario y digoxina. Los tratamientos específicos apuntan a los diferentes tipos de hipertensión pulmonar y de la respuesta a pruebas terapéuticas, como por ejemplo, la prueba a vasodilatadores. En este grupo se justifica la utilización de bloqueadores de canales de calcio como nifedipino, diltiazem o amlodipino, evitando el uso de verapamil por su efecto inótropo negativo.
En pacientes con hipertensión pulmonar, la actividad de la prostaciclina sintetasa está disminuida, por lo que se beneficiarían del uso de prostanoides como el epoprostenol, teprostinil o iloprost (inhalatorio). Por su parte, la endotelina-1 es un vasoconstrictor y mitógeno de células musculares lisas que contribuye en la patogenia de la enfermedad, de manera que los inhibidores de endotelina tienen un rol muy importante en el tratamiento crónico de la enfermedad. Los fármacos disponibles de esta categoría son bosentan, sitaxsentan y ambrisentan, los que no están aprobados para ser usados durante el embarazo dado su potencial teratogénico. Finalmente, como la enzima fosfodiesterasa-5 (PDE-5) se encuentra principalmente en el territorio pulmonar, la utilización de inhibidores de PDE-5 es favorable para el manejo de estas pacientes, con el valor agregado de que puede ser utilizado durante el embarazo. Las drogas aprobadas para el tratamiento son sildenafil y tadalafil.
Finalmente, los tratamientos invasivos pueden ser utilizados pero son en general de rescate para pacientes muy graves. Estos procedimientos incluyen la septostomía interauricular, métodos de asistencia ventricular derecha y trasplante pulmón-corazón. En aquellas pacientes con enfermedad tromboembólica pulmonar crónica, se puede plantear la tromboendarterectomía pulmonar 2 .
-
Manejo anestésico de la embarazada con hipertensión pulmonar
Al día de hoy no hay cura para la enfermedad, la comprensión de ella es incompleta y las opciones terapéuticas son limitadas. Los principales objetivos en el manejo anestésico de la paciente embarazada con hipertensión pulmonar incluyen: evitar los aumentos en la resistencia vascular pulmonar y la presión de arteria pulmonar, prevenir cambios en la precarga del ventrículo derecho (rol de la volemia y de la ausencia de arritmias), mantener una postcarga ventricular izquierda normal (evitar disminuciones en la resistencia vascular sistémica) y preservar la contractilidad ventricular derecha. Son factores que aumentan la presión de arteria pulmonar: el dolor, la hipovolemia, la hipotermia, la acidosis, la hipoxemia y la hipervolemia entre otros. Con estos objetivos en mente es necesario definir las metas en monitorización, optimización médica preoperatoria, técnica anestésica y manejo post operatorio.
A continuación proponemos un esquema de trabajo perioperatorio para la paciente portadora de hipertensión pulmonar durante la resolución de su embarazo, que incluye el manejo médico y anestesiológico.
-
Hospitalizar en segundo trimestre del embarazo para la evaluación y manejo intensivo. Dados los cambios hemodinámicos normales del embarazo (aumento significativo de la volemia entre las 28 a 34 semanas, asociado a una anemia fisiológica del embarazo), es en este período cuando ocurrirá una descompensación cardiovascular del frágil equilibrio en que están las pacientes.
-
Definir si es respondedora a vasodilatadores: la racionalidad para la realización del test vasodilatador agudo en la hipertensión pulmonar es identificar pacientes que tienen un componente vasoreactivo que justifique el uso de vasodilatadores no selectivos. Esto les confiere mejor pronóstico y las hace candidatas al uso de bloqueadores de canales de calcio en el futuro 2 . El test vasodilatador agudo se basa en la administración de vasodilatadores de corta duración como la prostaciclina, adenosina u óxido nítrico (NO) por vía inhalatoria 15 . Recientemente Costa et al., luego de la introducción de un catéter de arteria pulmonar, utilizando un protocolo de mediciones basales y a continuación de la inhalación de NO (20 ppm por 10 min), determinó que 18% de sus pacientes (6 de 34) eran respondedores a la terapia aguda, caracterizada por una disminución en la presión media de arteria pulmonar de 10 mmHg, con un valor absoluto menor a 40 mmHg, manteniendo el débito cardíaco estable o aumentándolo. Es importante recalcar que los pacientes reactivos son candidatos al uso de vasodilatadores no selectivos, ya que su cuadro aún tiene cierto grado de reactividad vascular reversible y no estructural. En este último caso, la terapia debiera ser dirigida al uso de drogas que interfieran en el proceso de remodelación como los antagonistas del receptor de endotelina (contraindicado en el embarazo) o el epoprostenol 15 .
-
Establecer estrategia de anticoagulación: los agentes de elección son las heparinas de bajo peso molecular (HBPM), sin embargo, cercano al momento del parto es recomendable utilizar heparina no fraccionada, que permite más flexibilidad para el momento del parto al interferir en menor medida con la decisión de utilizar técnicas analgésicas neuroaxiales. Existen otras alternativas de anticoagulación, sin embargo, no han sido aprobadas para su uso en la paciente embarazada.
-
Aportar oxígeno para mantener PaO2 sobre 70 mmHg y SaO 2 mayor a 90%, ya que la hipoxia es un potente vasoconstrictor pulmonar y puede agravar las consecuencias hemodinámicas del embarazo. Es posible que las pacientes ya sean usuarias de oxígeno domiciliario.
-
Establecer la necesidad del uso de diuréticos de asa si existe disfunción ventricular derecha. El ácido etacrínico y la espironolactona deben evitarse por su efecto ototóxico y anti androgénico en fetos de sexo masculino, respectivamente.
-
Profilaxis de endocarditis infecciosa: no se recomienda el uso de profilaxis para operación cesárea ni parto vaginal 16 .
-
Aproximación general al momento del parto: en general, el parto vaginal tiene menor riesgo de complicaciones tanto para la madre como para el recién nacido que la operación cesárea. Produce menores cambios de la volemia, menor sangrado y menos riesgo de infección.
-
Profilaxis mecánica contra tromboembolismo: uso de medias de compresión graduada o compresión neumática intermitente.
-
Profilaxis antibiótica en cirugía para disminución del riesgo de infección en el sitio operatorio (cefazolina 1 gr iv previo a la cesárea electiva o de urgencia, en dosis única) 17 .
-
Monitorización básica: presión arterial no invasiva, electrocardiografía de cinco derivadas, SaO2, sonda vesical, parches adhesivos torácicos de desfibrilador miocárdico, monitorización neuromuscular (si se utiliza anestesia general con relajación muscular), temperatura esofágica (si es anestesia general), BIS, capnografía (si se utiliza anestesia general) y monitorización cardíaca fetal.
-
Monitorización avanzada: catéter venoso central, idealmente con el introductor del catéter de arteria pulmonar (Swan Ganz), presión arterial invasiva, débito cardíaco no invasivo (Lidco plus® o similar) y ecocardiografía transesofágica en casos de anestesia general.
-
Métodos de calentamiento corporal activos: infusor de sueros tibios (Hotline® o similar) y sábanas térmicas convectivas (Bair Hugger® o similar). Ambos métodos han demostrado ser efectivos contra la pérdida de calor intraoperatoria.
-
Manejo conservador y juicioso de fluidos endovenosos: evitar la hipovolemia pero no producir hipervolemia y eventual congestión pulmonar. No existe evidencia que los coloides sean mejor que los cristaloides para esta reposición o viceversa.
-
Evitar la inyección de aire, especialmente en pacientes con cortocircuitos intracardíacos.
-
Reversión de anti coagulación y adherirse a las recomendaciones actuales para punción neuroaxial de pacientes en tratamiento anticoagulante (ver más adelante).
-
Uso de vasopresores: en casos de hipotensión postanestesia regional, es posible utilizar fenilefrina ya sea en bolos o infusión continua (idealmente). Otras opciones son noradrenalina o vasopresina para casos de falla ventricular derecha o hipertensión pulmonar de rebote.
-
Vasodilatadores pulmonares:
-
Análogos de prostaciclina (iloprost): en pacientes con capacidad funcional III y IV, han demostrado mejoría en la tolerancia al ejercicio. Se puede utilizar en dosis de 2,5 a 5 µg por inhalación, tan frecuentemente como cada 2 h.
-
Sildenafil: es una droga que ha sido aprobada para tratar pacientes con hipertensión arterial pulmonar que estén en capacidad funcional II y III. Su mecanismo de acción ocurre mediante la activación por parte del óxido nítrico de la enzima guanilato ciclasa para la producción de monofosfato de guanosina cíclico (GMPc) en las células musculares lisas de los vasos pulmonares, que disminuye la tensión arterial pulmonar e inhibe la proliferación en el interior de los vasos de esa zona. El sildenafil inhibe selectivamente a la enzima PDE-5, que degrada al GMPc, por lo tanto, deja más disponibilidad de GMPc para su efecto a nivel vascular. La droga mejora los síntomas y la tolerancia al ejercicio. La dosis recomendada es de 20 mg tres veces al día 18 . Otros autores lo han utilizado como terapia única a la espera de la resolución del parto, incluso en pacientes con síndrome de Eisenmenger, donde a pesar que los cambios de la arquitectura vascular pulmonar ya han ocurrido, se ha logrado buena respuesta y sobrevida sobre lo esperado para este nivel de gravedad 19 . Cabe mencionar que la paciente de la referencia antes citada sigue viva, a casi diez años de su parto¥.
¥ Comunicación personal, octubre de 2012, Dra. Gloria Valdés S., Profesor Titular, Departamento de Enfermedades Cardiovasculares, Facultad de Medicina Pontificia Universidad Católica de Chile.
-
Milrinona iv asociada a sildenafil oral: esta combinación logra una reducción sinérgica en la resistencia vascular pulmonar, respetando la resistencia vascular sistémica 20 . Esta estrategia puede ser utilizada si se desencadena una crisis hipertensiva pulmonar en el período intraoperatorio. La administración del sildenafil puede ser realizada a través de una sonda orogástrica si la paciente está con anestesia general.
-
Profilaxis de atonía uterina:
-
Oxitocina: la dosis efectiva 90% (DE90) de oxitocina para contracción uterina luego de una cesárea electiva (que no ha tenido trabajo de parto) es de 0,35 UI 21 , mientras que aquella para pacientes que sí tuvieron trabajo de parto es nueve veces superior (2,99 UI) 22 . La diferencia se cree que se debe a una desensibilización de receptores a oxitocina debido a su administración durante el trabajo de parto. Ocasionalmente la oxitocina puede inducir hipotensión, taquicardia y aumento del débito cardiaco, que son efectos compensatorios a la vasodilatación farmacológica. Se recomienda su uso en las menores dosis efectivas y en infusión continua.
-
Ergometrina: está contraindicada debido a sus efectos colaterales como hipertensión (pulmonar y sistémica), espasmo de arterias coronarias y broncoespasmo.
-
Prostaglandinas: la prostaglandina E1 (misoprostol 600 µg intrarrectal) es la más frecuentemente utilizada y tiene un efecto comparable a la oxitocina, sin tener los efectos hemodinámicos antes descritos. Es importante recordar que puede producir fiebre, diarrea y dolor abdominal.
-
Manejo específico durante el parto.
-
Analgesia para el trabajo de parto: la analgesia neuroaxial en bajas dosis se recomienda para casi todas las pacientes embarazadas cardiópatas, a menos que exista una contraindicación absoluta, como la anticoagulación no revertida. Los beneficios de este tipo de analgesia son mayores al riesgo de la técnica, al atenuar las respuestas hemodinámicas secundarias al dolor del trabajo de parto. La monitorización en general será sobre la base de presión arterial invasiva y eventualmente la medición de débito cardiaco, con un catéter de arteria pulmonar o bien con un monitor no invasivo de débito cardíaco, sin embargo, los algoritmos propietarios que utilizan estos últimos, no han sido validados para pacientes obstétricas y menos para cardiópatas, por lo que sus valores deben ser interpretados con precaución y guiándose por la tendencia de las mediciones más que por valores absolutos.
-
Postoperatorio: cualquiera sea el comportamiento en el parto, la etapa más crítica será en el postparto inmediato, donde se produce una autotransfusión por la retracción uterina, que puede desencadenar insuficiencia cardíaca terminal por un ventrículo incapaz de manejar un aumento agudo de la precarga. Es en este período donde la paciente debe permanecer en una unidad de cuidados intensivos (al menos por 72 h), con monitorización invasiva y disponibilidad de vasodilatadores por si se produjera un aumento en las presiones de arteria pulmonar que desencadenen insuficiencia cardíaca. Posteriormente, debe permanecer en una unidad de cuidados intermedios, por los primeros 10 días, que son los más críticos en términos de complicaciones postoperatorias.
-
-
-
Óxido nítrico: administración en dosis de 20 ppm cada 2 h, debe ser realizado conectando al tubo endotraqueal o utilizando dispositivos no invasivos que requieren de la cooperación de la paciente, ya que es necesario un sello hermético en la cara, lo que disminuye su tolerabilidad.
-
Sildenafil: la dosis debe ajustarse para el postparto inmediato, de acuerdo a la respuesta clínica.
-
-
-
Situaciones de emergencia.
-
-
Cesárea de emergencia: en el caso que la paciente requiera de cesárea de emergencia, es probable que la paciente esté anticoagulada y por lo tanto, se requiera de reversión de ésta y uso de anestesia general para la resolución del parto.
-
-
-
-
Reversión de la anticoagulación con heparina de bajo peso molecular (HBPM): si la paciente recibió HBPM en las últimas 8 h, se debe administrar protamina en dosis de 1 mg por cada 100 unidades anti Xa de HBPM (1 mg de enoxaparina (Clexane®) equivale a 100 unidades anti Xa, es decir, si recibió 0,5 mg·kg-1 una paciente de 70 kg, serán 35 mg de protamina para la reversión). Se debe administrar una segunda dosis de 0,5 mg protamina por cada 100 unidades anti Xa de HBPM si el sangrado persiste. Se puede reducir la dosis si el tiempo desde la última dosis es mayor a 8 h 23 .
-
Anestesia general para operación cesárea:
-
-
-
-
-
-
Inducción endovenosa
-
-
-
-
Pre oxigenación
-
Midazolam 1-2 mg: si bien las pacientes embarazadas tienen menores requerimientos anestésicos, es posible que sus requerimientos anestésicos para evitar recuerdos intraoperatorios no se modifiquen 24 , por lo que es recomendable el uso de un amnésico.
-
Etomidato 0,2-0,3 mg·kg-1
-
Remifentanil 1-2 ug·kg-1 ·min- 1 por 1 min (bolo inducción) o fentanilo 5-10 µg·kg -1
-
Rocuronio 0,6-1,2 mg·kg-1 o succinilcolina 1-2 mg·kg -1
-
-
-
-
Intubation orotraqueal
-
Mantención luego de pinzar el cordón umbilical (doble pinzamiento y toma de gases de cordón por neonatología):
-
-
-
-
Oxígeno con FiO2 de 100%
-
Remifentanil 0,05-0,2 ug·kg-1 ·min -1 o fentanilo 3-5 µg·kg -1 ·h -1
-
Gases halogenados < 1 MAC (por riesgo de atonía uterina)
-
Morfina 3-5 mg iv (si se utilizó remifentanil).
-
-
-
-
Prevención de atonía uterina:
-
-
-
-
-
-
-
-
Evitar bolos de oxitocina así sean dosis bajas y favorecer el uso de infusiones continuas.
-
Sugerir suturas de B-lynch profilácticas 25 .
-
-
-
-
-
-
-
-
Analgesia PCA iv con morfina, antiinflamatorios no esteroidales iv y acetaminofen vía oral o iv (dosis máxima: 4 gr al día).
-
Reversión de relajación neuromuscular guiada por estimulador de nervio periférico.
-
Extubación traqueal si las condiciones clínicas hemodinámicas lo permiten. La extubación traqueal se puede realizar modulando la respuesta adrenérgica con remifentanil.
-
-
-
Conclusión
Si bien el embarazo se desaconseja en casos de hipertensión pulmonar, será cada vez más frecuente encontrarnos con este tipo de pacientes, ya que las sobrevivientes de patologías cardíacas congénitas complejas están llegando sin mayores inconvenientes a la edad fértil. Las pacientes con hipertensión pulmonar que se embarazan son un desafío interdisciplinario que requiere de un cuidadoso plan perioperatorio, el cual puede extenderse por varias semanas y el anestesiólogo tiene mucho que aportar para un desenlace óptimo tanto de la madre como del hijo.
Referencias
- Marelli AJ, Mackie AS, Ionescu-Ittu R, Rahme E, Pilote L. Congenital heart disease in the general population: changing prevalence and age distribution. Circulation 2007; 115: 163-172.
- McLaughlin Vallerie V, Archer Stephen L, Badesch David B, Barst Robyn J, Farber Harrison W, Lindner Jonathan R, et al. ACCF/AHA 2009 Expert Consensus Document on Pulmonary Hypertension: A Report of the American College of Cardiology Foundation Task Force on Expert Consensus Documents and the American Heart Association Developed in Collaboration With the American College of Chest Physicians; American Thoracic Society, Inc.; and the Pulmonary Hypertension Association. Journal of the American College of Cardiology 2009; 53: 1573-1619.
- Gambling DR. Vascular Diseases, Obstetric Anesthesia and Uncommon Disorders, 2a edición Edition. Edited by Gambling D, Douglas M, McKay R. New York, Cambridge University Press, 2008, pp 57-74.
- Humbert Marc. Update in pulmonary arterial hypertension 2007. American journal of respiratory and critical care medicine 2008; 177: 574-579.
- Madden BP. Pulmonary hypertension and pregnancy. International Journal of Obstetric Anesthesia 2009; 18: 156-164.
- Cogan JD. High Frequency of BMPR2 Exonic Deletions/Duplications in Familial Pulmonary Arterial Hypertension. American journal of respiratory and critical care medicine 2006; 174: 590-598.
- van Wolferen SA, Marcus JT, Boonstra A, Marques KM, Bronzwaer JG, Spreeuwenberg MD, et al. Prognostic value of right ventricular mass, volume, and function in idiopathic pulmonary arterial hypertension. European heart journal 2007; 28: 1250-1257.
- Mhyre JM, Bateman BT, Leffert LR. Influence of patient comorbidities on the risk of near-miss maternal morbidity or mortality. Anesthesiology 2011; 115: 963-972.
- Pauwaa S, Machado RF, Desai AA. Survival in pulmonary arterial hypertension: a brief review of registry data. Pulmonary Circulation 2011; 1: 430.
- D‘Alonzo GE, Barst RJ, Ayres SM, Bergofsky EH, Brundage BH, Detre KM, et al. Survival in patients with primary pulmonary hypertension. Results from a national prospective registry. Annals of internal medicine 1991; 115: 343-349.
- Harrigan RA, Jones K. ABC of clinical electrocardiography. Conditions affecting the right side of the heart. BMJ 2002; 324: 1201-1204.
- Dawkins KD, Burke CM, Billingham ME, Jamieson SW. Primary pulmonary hypertension and pregnancy. Chest 1986; 89: 383-388.
- Mohr LC. Hypoxia during air travel in adults with pulmonary disease. The American journal of the medical sciences 2008; 335: 71-79.
- Weiss Branko M, Zemp Lea, Seifert Burkhardt, Hess Otto M. Outcome of Pulmonary Vascular Disease in Pregnancy: A Systematic Overview From 1978 Through 1996. Journal of the American College of Cardiology 1998; 31: 1650-1657.
- Costa ELV, Jardim C, Bogossian HB, Amato MBP, Carvalho CRR, Souza R. Acute vasodilator test in pulmonary arterial hypertension: Evaluation of two response criteria. Vascular Pharmacology 2005; 43: 143-147.
- Labarca J. Profilaxis Antibiótica en Endocarditis Bacteriana, Manual de Antibioterapia y Control de Infecciones para Uso Hospitalario, Segunda Edition. Edited by Labarca J, Pérez C, García P, Zambrano A. Santiago, Comité de Prevención y Control de infecciones asociadas a la Atención en Salud, Hospital Clínico Universidad Católica de Chile, 2011, pp 27-28.
- Labarca J. Profilaxis Antibiótica en Cirugía, Manual de Antibioterapia y Control de Infecciones para Uso Hospitalario, Segunda Edition. Edited by Labarca J, Pérez C, García P, Zambrano A. Santiago, Comité de Prevención y Control de infecciones asociadas a la Atención en Salud, Hospital Clínico Universidad Católica de Chile, 2011, pp 29-32.
- Rich S. Hipertensión pulmonar, Harrison. Principios de Medicina Interna, 14th Edition. Edited by Fauci A, Kasper D, Longo D, Braunwald E, Hauser S, Jameson J, Loscalzo J. Mexico, D.F., McGraw-Hill Interamericana, 2009, pp 1576-1581.
- Lacassie HJ, Germain AM, Valdés G, Fernández MS, Allamand F, López H. Management of Eisenmenger syndrome in pregnancy with sildenafil and L-arginine. Obstetrics and gynecology 2004; 103: 1118-1120.
- Lobato EB. Treatment with phosphodiesterase inhibitors type III and V: milrinone and sildenafil is an effective combination during thromboxane-induced acute pulmonary hypertension. British Journal of Anaesthesia 2006; 96: 317-322.
- Carvalho JCA, Balki M, Kingdom J, Windrim R. Oxytocin requirements at elective cesarean delivery: a dose-finding study. Obstetrics and gynecology 2004; 104: 1005-1010.
- Balki M, Ronayne M, Davies S, Fallah S, Kingdom J, Windrim R, et al. Minimum oxytocin dose requirement after cesarean delivery for labor arrest. Obstetrics and gynecology 2006; 107: 45-50.
- Hirsh J, Bauer KA, Donati MB, Gould M, Samama MM, Weitz JI. Parenteral anticoagulants: American College of Chest Physicians Evidence-Based Clinical Practice Guidelines (8th Edition). Chest 2008; 133: 141S-159S.
- Ueyama H, Hagihira S, Takashina M, Nakae A, Mashimo T. Pregnancy does not enhance volatile anesthetic sensitivity on the brain: an electroencephalographic analysis study. Anesthesiology 2010; 113: 577-584.
- The Professional and Clinical Standards Committee and Expert Groups, Cardiac Disease and Pregnancy (Good Practice No. 13). 2011 (updated Gynaecologists TRCoOa editors. The Royal College of Obstetricians and Gynaecologists; http://www.rcog.org.uk/files/rcog-corp/ice13CardiacDiseaseandPregnancy.pdf 22/10/2012 (fecha de acceso).